Leaderboard

Sie sind hier: Fortbildung » Radiologie-Quiz 13. Dezember 2025
Suchen
tellmed.ch
Radiologie-Quiz
Erweiterte Suche
Fachliteratur
Fortbildung
Radiologie-Quiz
Röntgenfall des Monats
EKG-Quiz
Labor-Quiz
Kongresse/Tagungen
Tools
Humor
Kolumne
Presse
Gesundheitsrecht
Links
 

Zum Patientenportal

 
Schrift: Schrift grösser Schrift kleiner Als Email versenden Druckvorschau

 Das Portal für Ärztinnen und Ärzte

Tellmed richtet sich ausschliesslich an Mitglieder medizinischer und pharmazeutischer Berufe. Für Patienten und die Öffentlichkeit steht das Gesundheitsportal www.sprechzimmer.ch zur Verfügung.

 

Rect Top

Radiologie Quiz 43

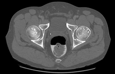
Im Rahmen einer Prostataabklärung wird bei einem 51-jährigen Mann eine Computertomographie des kleinen Beckens durchgeführt.

 

Knochenbeschwerden werden verneint. Hier ein CT-Schnitt im Bereich der Femurköpfe:

 

CT kleines Becken (Schnitthöhe Femurkopf)

Bild vergrössern

 

 

Frage

Wie würden Sie diesen Befund beschreiben?

 

Mediscope

08.04.2011 - dde

 
Adserver Footer
Rect Bottom
 

Fachportal Gastroenterologie:
Abklärung, Diagnose
Therapie, Prävention

Eisen-Fachportal:
Eisenmangel und Eisenmangelanämie
Sprechzimmer: Patientenratgeber
Sky right 1