Leaderboard

Sie sind hier: Fortbildung » Radiologie-Quiz 05. Dezember 2025
Suchen
tellmed.ch
Radiologie-Quiz
Erweiterte Suche
Fachliteratur
Fortbildung
Radiologie-Quiz
Röntgenfall des Monats
EKG-Quiz
Labor-Quiz
Kongresse/Tagungen
Tools
Humor
Kolumne
Presse
Gesundheitsrecht
Links
 

Zum Patientenportal

 
Schrift: Schrift grösser Schrift kleiner Als Email versenden Druckvorschau

 Das Portal für Ärztinnen und Ärzte

Tellmed richtet sich ausschliesslich an Mitglieder medizinischer und pharmazeutischer Berufe. Für Patienten und die Öffentlichkeit steht das Gesundheitsportal www.sprechzimmer.ch zur Verfügung.

 

Rect Top

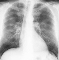
Radiologie Quiz 40

Ein 58-jähriger, sportlich aktiver Mann sucht Sie in der Sprechstunde auf. Er klagt über eine Leistungsminderung und Husten mit etwas weisslichem Auswurf seit ca. 2-3 Wochen. Dazu subfebrile Temperaturerhöhung.

 

In der Anamnese erfahren Sie, dass der Patient früher geraucht hat (30 packyears), seit 10 Jahren allerdings nicht mehr. Kardiopulmonale Vorerkrankungen werden verneint. Die Lungenauskultation zeigt keine pathologischen Befunde.

 

Sie beschliessen, ein Thorax-Röntgenbild durchzuführen:

 

Thorax pa

Bild vergrössern

 Thorax seitlich

  Bild vergrössern

 

 

Frage

Wie beurteilen Sie das Röntgenbild in Kombination mit der Klinik?

 

 

Mediscope

09.11.2010 - dde

 
Adserver Footer
Rect Bottom
 

Fachportal Gastroenterologie:
Abklärung, Diagnose
Therapie, Prävention

Eisen-Fachportal:
Eisenmangel und Eisenmangelanämie
Sprechzimmer: Patientenratgeber
Sky right 1