Leaderboard

Sie sind hier: Fortbildung » Radiologie-Quiz 29. Januar 2026
Suchen
tellmed.ch
Radiologie-Quiz
Erweiterte Suche
Fachliteratur
Fortbildung
Radiologie-Quiz
Röntgenfall des Monats
EKG-Quiz
Labor-Quiz
Kongresse/Tagungen
Tools
Humor
Kolumne
Presse
Gesundheitsrecht
Links
 

Zum Patientenportal

 
Schrift: Schrift grösser Schrift kleiner Als Email versenden Druckvorschau

 Das Portal für Ärztinnen und Ärzte

Tellmed richtet sich ausschliesslich an Mitglieder medizinischer und pharmazeutischer Berufe. Für Patienten und die Öffentlichkeit steht das Gesundheitsportal www.sprechzimmer.ch zur Verfügung.

 

Rect Top

Radiologie Quiz 36

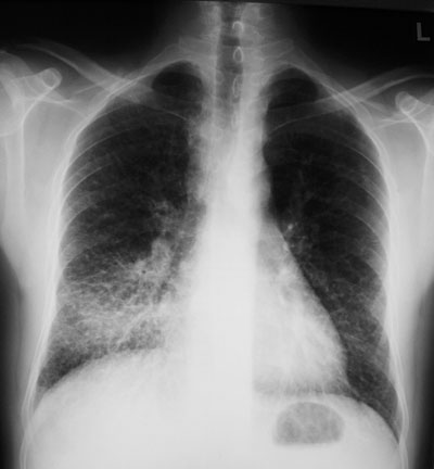
Ein 46-jähriger Patient konsultiert Sie wegen chronischem trockenem Husten seit zwei Monaten und einem Gewichtsverlust von 6 kg in derselben Zeit.

 

Dyspnoe verspürt er lediglich bei starker Anstrengung. Fieber wird verneint. Lungenperkussion und -auskultation sind unauffällig; im Gegensatz zum Röntgenbild:

 

Thorax pa

Bild vergrössern

 

 

Frage 1

Wie würden Sie den Befund beschreiben?

 

 

Frage 2

Welche beiden folgenden Differentialdiagnosen sind aufgrund der Klinik und des radiologischen Befundes am wahrscheinlichsten?

 

Mediscope

06.07.2009 - dde

 
Adserver Footer
Rect Bottom
 

Fachportal Gastroenterologie:
Abklärung, Diagnose
Therapie, Prävention

Eisen-Fachportal:
Eisenmangel und Eisenmangelanämie
Sprechzimmer: Patientenratgeber
Sky right 1