Leaderboard

Sie sind hier: Fortbildung » Radiologie-Quiz 05. Dezember 2025
Suchen
tellmed.ch
Radiologie-Quiz
Erweiterte Suche
Fachliteratur
Fortbildung
Radiologie-Quiz
Röntgenfall des Monats
EKG-Quiz
Labor-Quiz
Kongresse/Tagungen
Tools
Humor
Kolumne
Presse
Gesundheitsrecht
Links
 

Zum Patientenportal

 
Schrift: Schrift grösser Schrift kleiner Als Email versenden Druckvorschau

 Das Portal für Ärztinnen und Ärzte

Tellmed richtet sich ausschliesslich an Mitglieder medizinischer und pharmazeutischer Berufe. Für Patienten und die Öffentlichkeit steht das Gesundheitsportal www.sprechzimmer.ch zur Verfügung.

 

Rect Top

Radiologie Quiz 53

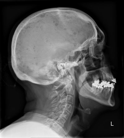
Ein 67-jähriger Patient kommt zu Ihnen mit diffusen Knochenschmerzen. Er klagt zudem über Müdigkeit, Abgeschlagenheit, Gewichtsverlust und Nachtschweiss.

Klinisch fällt eine Druck- und Klopfschmerzhaftigkeit des Skeletts v.a. entlang der Wirbelsäule und Hüfte auf. Mit blossem Auge sind sichtbare Deformierungen und Erhebungen im Bereich des Schädels erkennbar, woraufhin zunächst ein Schädelröntgen erfolgt.

 

Das Seitenbild des Schädels sehen Sie hier:

 

Schädel seitl.

Bild vergrössern

 

Frage 1

Wie lautet Ihre Verdachtsdiagnose?

 

 

Mediscope

11.07.2013 - gem

 
Adserver Footer
Rect Bottom
 

Fachportal Gastroenterologie:
Abklärung, Diagnose
Therapie, Prävention

Eisen-Fachportal:
Eisenmangel und Eisenmangelanämie
Sprechzimmer: Patientenratgeber
Sky right 1