Leaderboard

Sie sind hier: Fortbildung » Radiologie-Quiz 05. Dezember 2025
Suchen
tellmed.ch
Radiologie-Quiz
Erweiterte Suche
Fachliteratur
Fortbildung
Radiologie-Quiz
Röntgenfall des Monats
EKG-Quiz
Labor-Quiz
Kongresse/Tagungen
Tools
Humor
Kolumne
Presse
Gesundheitsrecht
Links
 

Zum Patientenportal

 
Schrift: Schrift grösser Schrift kleiner Als Email versenden Druckvorschau

 Das Portal für Ärztinnen und Ärzte

Tellmed richtet sich ausschliesslich an Mitglieder medizinischer und pharmazeutischer Berufe. Für Patienten und die Öffentlichkeit steht das Gesundheitsportal www.sprechzimmer.ch zur Verfügung.

 

Rect Top

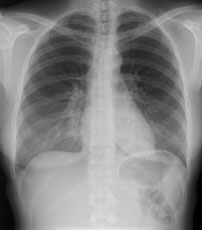
Radiologie Quiz 48

Eine 36-jährige Patientin kommt zu Ihnen in die Praxis. Sie berichtet über einen grippalen, fieberhaften Infekt, seit einer Woche bestehend.

In der Lungenauskultation sind Rasselgeräusche beidseits basal zu hören. Bei einem CRP von 160 mg/l veranlassen Sie ein Thoraxröntgen mit der Frage nach Infiltrat.

 

Hier sehen Sie die Bilder:

 

Thorax pa

Bild vergrössern

 Thorax seitlich

Bild vergrössern

 

 

Frage 1

Wie lautet Ihre Diagnose?

 

Mediscope

06.03.2012 - gem

 
Adserver Footer
Rect Bottom
 

Fachportal Gastroenterologie:
Abklärung, Diagnose
Therapie, Prävention

Eisen-Fachportal:
Eisenmangel und Eisenmangelanämie
Sprechzimmer: Patientenratgeber
Sky right 1