Labor Quiz 6
Eine 85jährige Patientin mit Diabetes mellitus Typ 2 und Charcot Fuss sowie einer arteriellen Hypertonie findet sich bei Ihnen zur Jahreskontrolle ein.
Sie finden im Labor folgende Blutresultate:
- Hb 85 g/l (120-160)
- Hk 26% (38-48)
- Ec 2.7 Mio/µl (3.9-5.5 )
- MCV 97 fl (80-102)
- MCH 32.1 pg (27.0-33.0)
- MCHC 331 g/l (300-360 )
- Retikulozyten 2.5%
- Leukozyten 3.3 G/l (3.0-9.0)
- Thrombozyten 127 G/l (125-320)
|
Frage 1
Wie beurteilen Sie diese Laborresultate?
|
|
Frage 2
Was machen Sie als nächstes?
|
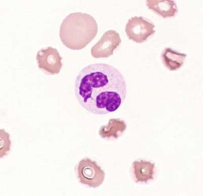
Nun finden Sie im Blutausstrich mehrere Neutrophile folgenden Typs:
|

|
|
Blutausstrich | |
|
Frage 3
Wie beurteilen Sie diesen Neutrophilen?
|
|
Frage 4
Was bedeutet das Vorkommen von hyposegmentierten (pelgeroiden) Neutrophilen im peripheren Blutbild?
|
Die Knochenmarks Punktion und Aspiration ergab bei diesem Patienten eine gesteigerte und reifungsgestörte Erythro-, Myelo- und Megakaryopoiese sowie den Nachweis von 10% myeloischen Blasten!).
|
Frage 5
Können Sie jetzt zusammen mit dem peripheren Blutbild eine Diagnose stellen?
|
|
Frage 6
Welche Aussage im Zusammenhang mit dem myelodysplastischen Syndrom (MDS) ist falsch?
|
Die vorliegenden Angaben stammen von Dr. med. Andreas Kuske in Bern.
Mediscope
29.03.2004 - dde
Mit freundlicher Unterstützung vom Medics Labor