Leaderboard

Sie sind hier: Fortbildung » Röntgenfall des Monats 14. Dezember 2025
Suchen
tellmed.ch
Röntgenfall des Monats
Erweiterte Suche
Fachliteratur
Fortbildung
Radiologie-Quiz
Röntgenfall des Monats
EKG-Quiz
Labor-Quiz
Kongresse/Tagungen
Tools
Humor
Kolumne
Presse
Gesundheitsrecht
Links
 

Zum Patientenportal

 
Schrift: Schrift grösser Schrift kleiner Als Email versenden Druckvorschau

 Das Portal für Ärztinnen und Ärzte

Tellmed richtet sich ausschliesslich an Mitglieder medizinischer und pharmazeutischer Berufe. Für Patienten und die Öffentlichkeit steht das Gesundheitsportal www.sprechzimmer.ch zur Verfügung.

 

Rect Top

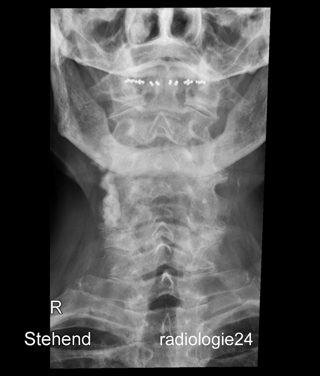
Röntgenfall des Monats Juli 2018 mit Auflösung

79 jähriger Patient Z.n. Sturz mit dem Velo auf den Kopf. Schmerzen HWS? Ihre Diagnose? Weitere radiologische Diagnostik?

 

Bild vergrössern

 

Bild vergrössern

 

 

 

Link zur Auflösung mit ausführlichem Befund:

 

https://www.radiologie24.ch/radiologie-mediathek/roentgenfall_des_monats

 

 

 

Radiologie Fortbildung für Hausärzte

www.radiologie24.ch/radiologie-dienstleistungen/radiologie-fortbildungen
 

Radiologie24

07.08.2018 - fgr

 
Adserver Footer
Rect Bottom
 

 

Radiologie Fortbildung für Hausärzte
mehr Infos >>

 

 

Sky right 1