Leaderboard

Sie sind hier: Fortbildung » Radiologie-Quiz 05. Dezember 2025
Suchen
tellmed.ch
Radiologie-Quiz
Erweiterte Suche
Fachliteratur
Fortbildung
Radiologie-Quiz
Röntgenfall des Monats
EKG-Quiz
Labor-Quiz
Kongresse/Tagungen
Tools
Humor
Kolumne
Presse
Gesundheitsrecht
Links
 

Zum Patientenportal

 
Schrift: Schrift grösser Schrift kleiner Als Email versenden Druckvorschau

 Das Portal für Ärztinnen und Ärzte

Tellmed richtet sich ausschliesslich an Mitglieder medizinischer und pharmazeutischer Berufe. Für Patienten und die Öffentlichkeit steht das Gesundheitsportal www.sprechzimmer.ch zur Verfügung.

 

Rect Top

Radiologie Quiz 51

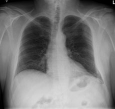
Ein 42-jähriger Freizeitsportler stürzte vor einigen Tagen bei einer Velotour auf die linke Flanke und kommt nun in Ihre Praxis wegen persistierenden thorakalen Schmerzen, v.a. bei tiefer Inspiration.

 

Sie veranlassen ein Thoraxröntgen, dessen Aufnahmen Sie hier sehen:

 

Thorax pa

Bild vergrössern

 Thorax (Ausschnittsaufnahme)

Bild vergrössern

 

 

Frage 1

Welcher der folgenden Befunde trifft zu?

 

 

Frage 2

Welche der folgenden Komplikationen ist im vorliegenden Fall unwahrscheinlich? (mehrere Antworten möglich)

 

Mediscope

22.04.2013 - gem

 
Adserver Footer
Rect Bottom
 

Fachportal Gastroenterologie:
Abklärung, Diagnose
Therapie, Prävention

Eisen-Fachportal:
Eisenmangel und Eisenmangelanämie
Sprechzimmer: Patientenratgeber
Sky right 1