Leaderboard

Sie sind hier: Fortbildung » Radiologie-Quiz 29. Januar 2026
Suchen
tellmed.ch
Radiologie-Quiz
Erweiterte Suche
Fachliteratur
Fortbildung
Radiologie-Quiz
Röntgenfall des Monats
EKG-Quiz
Labor-Quiz
Kongresse/Tagungen
Tools
Humor
Kolumne
Presse
Gesundheitsrecht
Links
 

Zum Patientenportal

 
Schrift: Schrift grösser Schrift kleiner Als Email versenden Druckvorschau

 Das Portal für Ärztinnen und Ärzte

Tellmed richtet sich ausschliesslich an Mitglieder medizinischer und pharmazeutischer Berufe. Für Patienten und die Öffentlichkeit steht das Gesundheitsportal www.sprechzimmer.ch zur Verfügung.

 

Rect Top

Radiologie Quiz 34

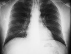
Ein 41-jähriger Mann sucht Sie auf, weil er zum dritten Mal in diesem Winter erkältet ist und dieses Mal sogar mit Fieber. Er gibt ausserdem an, etwas trockenen Husten zu haben. Ausserdem besteht seit Wochen eine Sinusitis, die nicht so recht abheilen will.

 

Gewichtsverlust wird verneint. Der Patient ist Nichtraucher und fühlte sich bis anhin gesund.

Die Lungenperkussion und -auskultation ist unauffällig. Das Labor zeigt eine Leukozytose ohne Linksverschiebung und ein CRP von 97 mg/dl. Hier das Röntgenbild der Lunge:

 

Thorax pa

Bild vergrössern

 Thorax seitlich

Bild vergrössern

 

 

Frage 1

Welche Befunde fallen Ihnen auf?

 

 

Frage 2

Es ist klar, dass aufgrund dieses Befundes keine Diagnose gestellt werden kann. Welche Diagnose ist aufgrund der Klink und des radiologischen Befundes am wahrscheinlichsten?

 

Mediscope

30.01.2009 - dde

 
Adserver Footer
Rect Bottom
 

Fachportal Gastroenterologie:
Abklärung, Diagnose
Therapie, Prävention

Eisen-Fachportal:
Eisenmangel und Eisenmangelanämie
Sprechzimmer: Patientenratgeber
Sky right 1